| |
|
|
| |
|
|
| |
|
|
| |
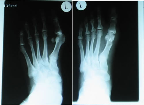
Die
Darstellungen der einzelnen knöchernen Abschnitte des
Bewegungsapparates können bei chronischen Beschwerden
(Verschleißerkrankungen) und bei Unfällen (z.B.
Sportverletzungen mit Verdacht auf Knochenbruch) mit moderner
und strahlenarmer Röntgentechnik sofort in der Praxis
erfolgen und ausgewertet werden.
|
|
| |
|
|
| |
 |
|
| |
|
|