| |
|
|
| |
|
|
| |
|
|
| |
Die
Füße sind das Fundament unseres Körpers. Im
normalen Alltag macht der Mensch ca. zwischen 8.000 und 15.000
Schritte. Eine größtmögliche Belastbarkeit
aber auch Flexibilität ist von dem Organ Fuß gefragt
und das in allen Lebensbereichen (Beruf, Sport etc.).
Eine große Anzahl an Erwachsenen aber auch Jugendliche
und Kinder klagen im Alltag über Beschwerden an den Füßen.
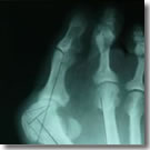
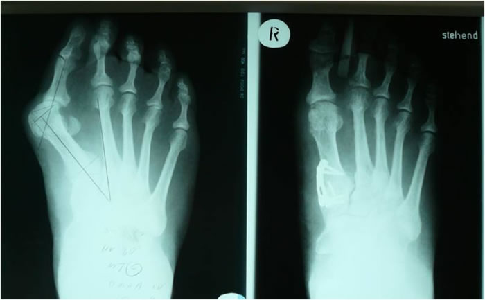
Moderne Behandlungskonzepte basieren auf neuesten Kenntnissen
der funktionellen Anatomie des Fußes, der klinischen
Untersuchung und bildgebender Verfahren (Röntgen, Computertomograhie,
Kernspintomographie).
Die konservative Behandlung (Einlagen, Schuhzurichtungen etc.)
hat Ihren festen Stellenwert, ist meistens ausreichend und
steht immer am Anfang der Behandlung. Nicht jede schmerzlose
Formvariante des Fußes ist operationswürdig.
Jedoch bei anhaltenden Beschwerden und einem Scheitern der
konservativen Behandlung kann das operative Vorgehen notwendig
werden.
Die Fußchirurgie ist in den letzten Jahren einem erheblichen
Wandel unterworfen. Die verschiedenen operativen Vorgehensweisen
in der Fußchirurgie profitieren heute von speziellen
Materialien zur Fixation (Schrauben, winkelstabile Platten,
Implantate aus Titan etc.) und führen auch durch schonende
Narkosetechniken (Regionalanästhesien) und gezielte Physiotherapie
nach Operation zur schnellen Belastbarkeit des Fußes
und damit zu einem zügigem Heilverlauf und kürzeren
Arbeitsunfähigkeitszeiten.
Die Operationen im Rahmen der Fußchirurgie
werden durch Dr. med. K.-U. Schreiter persönlich unter
ambulanten oder stationären Bedingungen durchgeführt
und nachbetreut.
Zur Beratung und Planung von Therapien
bei Fußerkrankungen
bieten wir eine gesonderte Fußsprechstunde in unserer
Praxis an. Bitte sprechen Sie uns an!
Senden Sie
uns bitte Ihren Terminvorschlag
zur OP Beratung/Besprechung bzw. Ihren OP Terminwunsch
an:
info@orthopaedie-karlsruhe.de
Sie werden anschließend zeitnah von unserem Praxispersonal
kontaktiert.
|
|
| |
|
|