Home  
  Praxis  
  Diagnose  
  Therapie  
  Fußchirurgie  
  Allgemein  
  Hallux valgus  
  Hallux rigidus  
  Hammerzehe  
  Fersensporn  
  Das Team  
  Sprechzeiten  
  Notfall  
  Extras  
  Kontakt  
  Impressum  
     
 
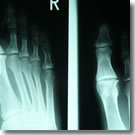
Hallux rigidus
 
     
 

Der Verschleiß bzw. die Zerstörung des Knorpels eines Gelenkes bezeichnet man als Arthrose. Die zunehmende Zerstörung des Gelenkes führt zu einer schmerzhaften Bewegungseinschränkung und zu störenden Knochenanbauten im Bereich des Großzehengrundgelenks. Konflikte im Schuhwerk sind die Folge. Je nach Ausprägungsgrad der Arthrose werden gelenkerhaltende oder eine Versteifungsoperation durchgeführt.

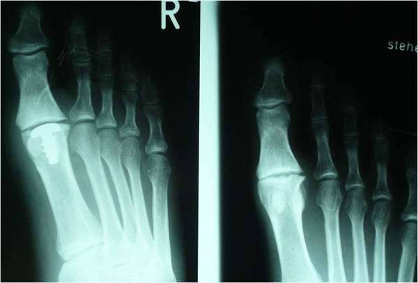
Ein neues Therapiekonzept zur Gelenkerhaltung ist die Implantation einer sogenannten "Hemi Cap" als Oberflächengleitersatz des Mittelfußköpfchens I nach Abtragung der störenden Knochenanbauten bei leichten bis mittelschweren Formen des Hallux rigidus.

Bei schweren Formen des Hallux rigidus macht eine Gelenkerhaltung in der Regel keinen Sinn. Hier kommen gelenkversteifende Operationen oder in Ausnahmenfällen gelenkentfernende Operationen zur Anwendung. Die Gelenkversteifung (Arthrodese) gilt derzeit als "golden standard" bei der operativen Behandlung von schweren Formen des Hallux rigidus.

Diese Eingriffe werden ebenfalls meistens unter stationären Bedingungen durchgeführt.

Insgesamt gelten die Prinzipien der Narkoseformen und der Nachbehandlung des Hallux valgus.